<img height="1" width="1" style="display:none" src="https://www.facebook.com/tr?id=1056215754466548&amp;ev=PageView&amp;noscript=1">
280 W River Park Drive Suite 110 Provo, UT

Back to Blog

Content

    Proven Results Improvement in 77% of Participants

    Published peer-reviewed research shows that Cognitive FX treatment leads to meaningful symptom reduction in post-concussion symptoms for 77% of study participants. Cognitive FX is the only PCS clinic with third-party validated treatment outcomes.

    READ FULL STUDY

    3-Day fMRI Guided TMS Treatment Shows Results for Chronic Post-Concussion Syndrome

    Image of Dr. Mark Allen, Ph.D.
    Updated on 21 November, 2025
    Medically Reviewed by

    Dr. Alina Fong

    Brain Stimulation for Post Concussion Syndrome

    Cognitive FX pioneers accelerated TMS protocol that reduces concussion symptoms by 63% in just three days


    The Hidden Epidemic: When Concussion Symptoms Won't Go Away

    If you're reading this, you likely know the frustration firsthand. The headaches that won't quit. The brain fog that makes work impossible. The exhaustion that sleep doesn't fix. The anxiety and depression that weren't there before your injury.

    You've been told these symptoms should resolve within weeks or months. But for 10-15% of people with mild traumatic brain injury (mTBI), symptoms persist for months or even years—a condition known as post-concussion syndrome (PCS).

    Traditional treatments often fall short. Physical therapy helps some symptoms but not others. Medications manage individual complaints without addressing the root cause. Cognitive rehabilitation teaches coping strategies but doesn't restore normal brain function. Many patients cycle through multiple specialists, spending thousands of dollars and months of their lives, only to see minimal improvement.

    Until now, few treatments have directly targeted the underlying brain network dysfunctions that cause persistent concussion symptoms.

    !-- START: Embeddable TMS Visualization -->

    COGNITIVE FX

    Functional Brain Imaging & Treatment

    🧠 Accelerated TMS for Post-Concussion Syndrome

    Groundbreaking Research Results from Cognitive FX

    Symptom Reduction
    63%
    Post-Treatment
    Treatment Duration
    3
    Days Only
    Brain Connectivity
    57%
    Improvement
    Success Rate
    100%
    Brain Changes
    Key Finding: All 11 participants showed dramatic improvements in objective brain function measures, with 7 out of 8 reporting >50% symptom reduction after just 3 days of treatment.

    Post-Concussion Symptom Scale (PCSS) Results

    Statistical Significance: p = 0.008 (Baseline vs Post-Treatment) | p = 0.013 (Baseline vs Follow-up)
    Lower scores indicate fewer/less severe symptoms. Average improvement of 63% maintained at follow-up.

    Depression Symptoms (BDI)

    p = 0.03 (Post-Treatment)
    34% reduction in depression symptoms

    Anxiety Symptoms (BAI)

    p = 0.009 (Follow-up)
    60% reduction in anxiety symptoms

    Objective Brain Function Improvements

    Highly Significant: Brain Region p = 0.0004 | Connectivity p < 0.0001
    These objective measurements show actual changes in brain function, not just symptom relief. All participants showed improvement regardless of symptom severity.

    Treatment Outcomes: Percentage Improvement

    Study Demographics

    Symptom Trajectory: All Measures Combined

    All measures normalized to percentage of baseline value. Note rapid improvement immediately post-treatment with sustained or continued improvement at follow-up.

    Study Methodology

    • 11 participants with chronic post-concussion syndrome (avg 21 months since injury)
    • Accelerated Protocol: 15 sessions over 3 consecutive days (5 sessions/day)
    • Personalized Targeting: fMRI-guided identification of optimal stimulation location
    • Intermittent Theta Burst: 1,200 pulses per session at 120% motor threshold
    • Objective Measures: Task-related fMRI (fNCI) pre and post-treatment
    • Follow-up: Assessments immediately post-treatment and 1-4 weeks later

    Experience This Breakthrough Treatment

    If you're struggling with persistent concussion symptoms, fMRI-guided accelerated TMS may offer the relief you've been seeking.

    📞 Call (385) 375-8590 ✉️ Email Us

    Cognitive FX
    280 W River Park Dr, Ste 110
    Provo, UT 84604
    www.cognitivefxusa.com

     

     


    The Breakthrough: fMRI-Guided Accelerated TMS for Post-Concussion Syndrome

    Cognitive FX has pioneered a revolutionary approach that's changing outcomes for patients with chronic post-concussion syndrome. Our new research, recently published in medRxiv, demonstrates that a specialized form of transcranial magnetic stimulation (TMS)—delivered using personalized brain imaging and an accelerated protocol—can produce dramatic symptom relief in just three days.

    What Makes This Approach Different?

    1. Personalized Brain Mapping with fMRI

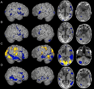
    Unlike standard TMS protocols that use the same brain location for everyone, our approach uses advanced functional MRI (fMRI) scanning to identify the exact treatment target for each patient's unique brain connectivity patterns.

    We analyze how your default mode network (DMN), cognitive control network (CCN), and salience network (SN) are functioning—the three brain networks most commonly disrupted after concussion. The fMRI scan reveals:

    • Areas of abnormal brain activation during cognitive tasks
    • Disrupted connections between brain regions
    • Compensatory patterns your brain has developed

    This personalized mapping allows us to target the precise location in your dorsolateral prefrontal cortex that will most effectively restore healthy network function.

    2. Accelerated Treatment Protocol

    Traditional TMS for depression requires daily sessions over 4-6 weeks. Our accelerated intermittent theta burst stimulation (iTBS) protocol compresses treatment into just 3 consecutive days:

    • 5 sessions per day
    • 30-minute intervals between sessions
    • 1,200 magnetic pulses per session (18,000 total)
    • Each session lasts only 6 minutes 32 seconds

    This intensive approach induces rapid neuroplastic changes—essentially "rebooting" maladaptive brain network patterns that developed after your injury.

    3. Theta Burst Stimulation Technology

    iTBS delivers magnetic pulses in a specific pattern (short bursts at 50 Hz, repeated at a theta frequency of 5 Hz) designed to promote long-term potentiation—the same process your brain uses for learning and memory. This pattern is particularly effective at:

    • Enhancing cortical excitability
    • Strengthening healthy neural connections
    • Reducing pathological connectivity patterns
    • Restoring normal network communication

    The Research Results: Dramatic Improvements Across All Measures

    Our pilot study followed 11 patients with chronic post-concussion syndrome (average 21 months since injury) who underwent the 3-day accelerated iTBS protocol.

    Symptom Improvements

    Post-Concussion Symptom Scale (PCSS)

    • 63% average symptom reduction immediately after treatment
    • Benefits maintained at 1-4 week follow-up (62% reduction)
    • 7 out of 8 participants reported >50% symptom relief
    • Significant improvement across physical, cognitive, sleep, and emotional symptoms

    Beck Anxiety Inventory (BAI)

    • 60% reduction in anxiety symptoms at 1-4 week follow-up
    • Average score decreased from 22.75 to 8.62
    • Improvements persisted beyond the treatment period

    Beck Depression Inventory (BDI)

    • 34% reduction in depression symptoms immediately after treatment
    • Effects maintained at follow-up
    • Many patients reported mood improvements continuing to build post-treatment

    Objective Brain Function Improvements

    Perhaps most remarkably, every single patient showed dramatic improvements in objective brain function measures:

    Brain Region Activation

    • 51.6% improvement in regional brain activation patterns
    • Significantly reduced deviation from healthy control standards
    • Changes visible on task-related fMRI scans

    Functional Connectivity

    • 56.9% improvement in inter-region brain connectivity
    • Restoration of healthy communication between brain networks
    • Normalization of Default Mode Network activity
    • Enhanced Cognitive Control Network function

    These objective changes provide biological confirmation that the treatment is directly addressing the underlying neural dysfunction—not just masking symptoms.


    Why Brain Network Dysfunction Causes Persistent Concussion Symptoms

    Understanding the science behind post-concussion syndrome helps explain why this treatment works so effectively.

    The Three Critical Brain Networks

    Default Mode Network (DMN) After concussion, the DMN often becomes overactive or poorly regulated, contributing to:

    • Difficulty concentrating
    • Mental fatigue
    • Intrusive thoughts
    • Cognitive slowness

    Cognitive Control Network (CCN) Reduced CCN activity or connectivity leads to:

    • Impaired working memory
    • Executive function deficits
    • Difficulty multitasking
    • Slowed information processing

    Salience Network (SN) Dysfunction in the SN, particularly involving the anterior cingulate cortex, causes:

    • Chronic fatigue
    • Emotional dysregulation
    • Anxiety and depression
    • Difficulty filtering relevant information

    How TMS Restores Network Balance

    By delivering precisely targeted magnetic stimulation to the dorsolateral prefrontal cortex—a critical hub connecting all three networks—we can:

    1. Enhance underactive cognitive control functions
    2. Normalize overactive default mode activity
    3. Restore healthy network switching via the salience network
    4. Reduce maladaptive compensatory patterns

    The accelerated protocol delivers enough stimulation in a compressed timeframe to induce lasting neuroplastic changes, essentially "resetting" the dysfunctional patterns your brain developed after injury.


    What Makes Cognitive FX's Approach Unique?

    Functional Neurocognitive Imaging (fNCI)

    Beyond just treating symptoms, we provide objective measures of your brain function using our proprietary fNCI protocol. This task-related fMRI assessment:

    • Evaluates 62 brain regions during cognitive tasks
    • Measures connectivity between 1,891 region pairs
    • Compares your results to 270 healthy controls
    • Identifies specific areas of dysfunction
    • Tracks objective improvements after treatment

    No other concussion clinic in the world offers this level of detailed, objective brain function assessment.

    Evidence-Based, Research-Driven Care

    This latest research builds on Cognitive FX's decade-long commitment to advancing concussion treatment through rigorous scientific investigation. Our team includes:

    • Board-certified neurologists
    • PhD neuroscientists
    • Licensed therapists specializing in brain injury
    • Expert TMS technicians

    All treatments are guided by peer-reviewed research and continuously refined based on patient outcomes.

    Integration with Comprehensive Rehabilitation

    While accelerated TMS can produce rapid improvements, we recognize that optimal recovery often requires a multidisciplinary approach. Our treatment programs can include:

    • Physical therapy for cervicogenic headaches and balance issues
    • Vestibular therapy for dizziness and visual problems
    • Cognitive therapy for attention and memory deficits
    • Psychotherapy for emotional symptoms
    • Neuromuscular therapy for neck dysfunction

    The key difference: TMS can restore normal brain network function, making your brain more receptive to these other therapies.


    Who Is a Candidate for Accelerated TMS?

    Ideal Candidates

    You may benefit from fMRI-guided accelerated TMS if you have:

    • Persistent symptoms lasting 3+ months after concussion
    • Failed standard treatments (physical therapy, medications, cognitive rehab)
    • Multiple concussions with cumulative effects
    • Comorbid depression or anxiety related to your injury
    • Cognitive complaints affecting work or school
    • Abnormal fMRI findings showing network dysfunction

    Treatment Exclusions

    For safety reasons, TMS is not appropriate if you have:

    • Metal implants in the skull
    • Pacemakers or other electronic implants
    • History of seizures or epilepsy
    • Active psychosis or severe psychiatric conditions
    • Pregnancy (as a precaution)

    What About Recent Injuries?

    While this study focused on chronic PCS (symptoms lasting months to years), we also treated two patients with acute concussion (<3 months) who showed similar improvements. Earlier intervention may prevent chronic symptoms from developing.


    What to Expect: The Treatment Experience

    Pre-Treatment Assessment (Day 1)

    Morning: Functional MRI Scans

    • Resting-state scan to map brain connectivity (30 minutes)
    • Task-based fNCI scan to assess brain function (15 minutes)
    • T1-weighted structural scan for anatomical precision

    Afternoon: Treatment Planning

    • Our team analyzes your fMRI data
    • We identify your personalized TMS target
    • Motor threshold determination (the minimum stimulation intensity needed)

    Treatment Days (Days 2-4)

    Daily Schedule

    • 5 TMS sessions throughout the day
    • Each session lasts 6 minutes 32 seconds
    • 30-minute rest intervals between sessions
    • Total daily time commitment: approximately 3-4 hours

    During Treatment

    • You'll sit in a comfortable chair
    • A magnetic coil is positioned against your scalp
    • You'll feel a tapping sensation and hear clicking sounds
    • No anesthesia or sedation needed
    • You can read, listen to music, or relax between sessions

    Common Side Effects (temporary and mild)

    • Scalp sensitivity at the stimulation site
    • Mild headache (typically resolves within hours)
    • Facial muscle fatigue
    • Temporary symptom fluctuation during treatment

    Important: Nearly all participants in our study reported that any side effects resolved before the next day's treatment session.

    Post-Treatment Follow-Up

    Immediate Post-Treatment (Day 4 or 5)

    • Repeat fNCI scan to measure brain function changes
    • Symptom reassessment
    • Discussion of results with your treatment team

    1-4 Week Follow-Up

    • Check-in to assess sustained improvements
    • Many patients report continued improvement during this period
    • Recommendations for ongoing supportive therapies if needed

    Real Results: What Patients Experience

    While we can't share individual patient stories without consent, the research data reveals common patterns:

    Week 1 (During Treatment)

    • Many patients notice improvements after the first day
    • Incremental gains with each subsequent treatment day
    • Reduced brain fog and improved mental clarity
    • Better sleep quality
    • Decreased headache frequency or intensity

    Weeks 2-4 (Post-Treatment)

    • Continued symptom reduction in most patients
    • Some patients report delayed improvements (symptoms continue improving after treatment ends)
    • Enhanced ability to tolerate cognitive demands
    • Reduced anxiety and improved mood
    • Greater stamina for work and daily activities

    Long-Term (Beyond 1 Month)

    • Sustained improvements in brain connectivity on follow-up scans
    • Many patients report the treatment "unlocked" their ability to benefit from other therapies
    • Objective brain function measures remain significantly improved

    The Science Behind Lasting Results

    Neuroplasticity and Network Reorganization

    The brain's remarkable ability to reorganize itself—neuroplasticity—is both the problem and the solution in chronic PCS.

    After concussion, your brain develops compensatory patterns to work around damaged or dysfunctional areas. While initially protective, these patterns can become maladaptive, creating:

    • Inefficient neural pathways
    • Excessive energy expenditure for basic tasks
    • Network hyperconnectivity or hypoconnectivity
    • Persistent symptoms even after structural healing

    Accelerated iTBS delivers enough concentrated stimulation to overcome these entrenched patterns. By specifically targeting brain regions anti-correlated with the Default Mode Network and positively correlated with the Cognitive Control Network, we:

    1. Strengthen underactive executive control systems
    2. Reduce overactive self-referential processing
    3. Restore healthy network segregation and integration
    4. Enable more efficient neural processing

    The accelerated protocol (multiple sessions per day over consecutive days) produces more robust neuroplastic changes than traditional once-daily treatments, potentially explaining the dramatic results.

    Why fMRI Guidance Matters

    Research shows significant individual variability in brain organization, especially after injury. What works at one brain location for one person may be suboptimal for another.

    Our fMRI-guided approach ensures we're targeting:

    • The region with strongest anti-correlation to your specific DMN pattern
    • Areas positively connected to cognitive control regions
    • Locations that can most effectively modulate your unique network dysfunction

    This personalization may explain why 100% of patients in our study showed objective brain improvements, even though symptom patterns varied.


    Comparing Treatment Options: Where Accelerated TMS Fits

    Traditional Concussion Management

    Standard Approach:

    • Rest and gradual return to activity
    • Symptom-specific medications
    • Physical, vestibular, and vision therapy
    • Cognitive rehabilitation
    • Psychotherapy

    Limitations:

    • Often palliative rather than restorative
    • Doesn't directly address network dysfunction
    • Variable efficacy (many patients remain symptomatic)
    • Requires months of treatment
    • May not work for chronic cases

    When it works: Early intervention in acute phase, straightforward symptoms

    Conventional TMS for Depression

    Protocol:

    • Daily sessions for 4-6 weeks
    • Targets left DLPFC using standard coordinates
    • Primarily for treatment-resistant depression

    Limitations for PCS:

    • Time-intensive (20-30 sessions)
    • Not personalized to brain injury patterns
    • Doesn't use fMRI guidance
    • Designed for depression, not concussion

    When it works: Depression without brain injury

    Cognitive FX Accelerated fMRI-Guided TMS

    Protocol:

    • 3 consecutive days
    • 15 total sessions
    • Personalized fMRI targeting
    • Objective before/after brain measures

    Advantages:

    • Directly addresses network dysfunction
    • Rapid symptom relief (days, not months)
    • Personalized to your specific brain patterns
    • Objective measures of brain changes
    • Well-tolerated with minimal side effects
    • Can be combined with our EPIC treatment program

    Ideal for: Chronic PCS unresponsive to standard treatment, patients needing rapid improvement


    Insurance Coverage and Treatment Investment

    Coverage Considerations

    TMS is FDA-approved for depression and is increasingly covered by insurance for that indication. Coverage for post-concussion syndrome applications is evolving. We recommend:

    • Contacting your insurance provider about TMS coverage
    • Asking specifically about coverage for "neuromodulation for traumatic brain injury"
    • Obtaining pre-authorization when possible

    Our team can provide documentation of medical necessity and assist with insurance navigation.

    Investment in Your Recovery

    While costs vary based on individual circumstances and insurance coverage, consider:

    The Cost of Persistent Symptoms:

    • Lost work productivity or inability to work
    • Ongoing medications and therapies
    • Reduced quality of life
    • Impact on relationships and mental health
    • Years of symptom management

    The Value of Rapid, Objective Improvement:

    • Just 3 days of treatment
    • Objective brain function measures
    • Potential to return to work and normal activities
    • Reduced need for ongoing symptom management
    • Improved response to other therapies

    Many patients find that the potential for dramatic, lasting improvement justifies the investment, especially after unsuccessful standard treatments.


    Frequently Asked Questions

    How is this different from EPIC treatment?

    Our EPIC (Enhanced Performance in Cognition) program is a comprehensive 1-week intensive rehabilitation that includes physical, cognitive, and occupational therapy guided by fMRI results. Accelerated TMS can be:

    • A standalone treatment for patients who primarily need network rebalancing
    • An addition to EPIC treatment for patients with severe network dysfunction
    • A preparatory treatment that makes the brain more responsive to rehabilitation

    Your treatment team will recommend the best approach for your specific needs.

    Is the improvement permanent?

    Our research shows sustained improvements at 1-4 weeks post-treatment. Long-term durability studies are ongoing. Some patients may benefit from occasional booster sessions, while others experience lasting relief. The objective brain changes we measure suggest genuine neuroplastic reorganization, not temporary symptom masking.

    Does it hurt?

    Most patients describe the sensation as a tapping feeling on the scalp with some facial twitching. It's typically not painful, though scalp sensitivity is common. We adjust intensity to maintain tolerability while delivering therapeutic benefit.

    What if I have depression or anxiety from other causes?

    TMS is FDA-approved for depression, and many of our patients have both post-concussion syndrome and mood disorders. The treatment may help both conditions, especially when they're neurologically linked.

    Can I drive myself to treatment?

    Yes. Unlike some brain treatments, TMS doesn't impair your ability to drive or function. Most patients drive themselves to and from sessions.

    What happens if it doesn't work for me?

    While our research shows significant improvements in the vast majority of patients, individual responses vary. If you don't experience sufficient benefit, we'll:

    • Review your fMRI results to understand why
    • Consider whether alternative or additional treatments might help
    • Provide recommendations for next steps

    Our goal is always an optimal outcome, whether that comes from TMS alone or combination approaches with our third party validated EPIC program.


    The Future of Concussion Treatment

    This research represents a paradigm shift in how we approach persistent post-concussion symptoms.

    Directly measure brain network dysfunction with fMRI
    Precisely target the neural circuits causing symptoms
    Rapidly restore healthy brain function in days
    Objectively verify improvements with follow-up imaging
    Enable better response to comprehensive rehabilitation

    Ongoing Research

    Cognitive FX continues to advance the field through:

    • Larger randomized controlled trials
    • Long-term outcome studies
    • Optimization of targeting protocols
    • Integration with neurorehabilitation
    • Extension to other brain injury populations

    We're committed to continually improving outcomes through rigorous scientific investigation.


    Take the Next Step: Is Accelerated TMS Right for You?

    If you're struggling with persistent concussion symptoms that haven't responded to standard treatment, fMRI-guided accelerated TMS may offer the breakthrough you've been seeking.


    4 Components of Successful Concussion Treatment

    4 Components of Successful Concussion Treatment

     Originally Published at Utah valley Health & Wellness Magazine Here
    As a scientist who studies concussion and does research on concussion treatment, I was recently asked what I would do if I...
    Read the full article
    What the Duke Study on fMRI Brain Scans Means for Post-Concussion Syndrome Detection

    Duke Study on fMRI Brain Scans for Post-Concussion Syndrome Detection

    The Hariri lab at Duke University recently published a review that questions the reliability of task-based fMRI as used to examine individual patients. 

    Read the full article
    Can One Treat the Long-Term Effects of Concussion

    Can One Treat the Long-Term Effects of Concussion?

    About a year ago I did an interview over the phone with a sports-talk radio show in Texas. The topic was concussion in high school football (Texas is all about high school football). I talked about...

    Read the full article
    Concussion Treatment Versus No Treatment

    Concussion Treatment Versus No Treatment

    At Cognitive FX we use both subjective and objective testing to discover how effective the treatment of a concussion is. During EPIC Treatment we use two fNCI scans one to definitively show where you...

    Read the full article
    fMRI Scan TMS Depression Treatment

    MRI-Guided TMS for Depression: A New Approach to Personalized Treatment

    A large real-world study demonstrates that using fMRI brain scans to personalize TMS targeting will significantly improve outcomes for treatment-resistant depression—but the treatment works well...

    Read the full article
    can-an-mri-detect-post-concussion-syndrome

    Can an MRI Detect Post-Concussion Syndrome? | Cognitive FX

    A regular MRI (magnetic resonance imaging) looks at brain structure and integrity. While it helpful for diagnosing structural brain damage, it can’t often be used to detect post-concussion syndrome...

    Read the full article