<img height="1" width="1" style="display:none" src="https://www.facebook.com/tr?id=1056215754466548&amp;ev=PageView&amp;noscript=1">
280 W River Park Drive Suite 110 Provo, UT

Back to Blog

Content

    Proven Results Improvement in 77% of Participants

    Published peer-reviewed research shows that Cognitive FX treatment leads to meaningful symptom reduction in post-concussion symptoms for 77% of study participants. Cognitive FX is the only PCS clinic with third-party validated treatment outcomes.

    READ FULL STUDY

    MRI-Guided TMS for Depression: A New Approach to Personalized Treatment

    Image of Dr. Mark Allen, Ph.D.
    Updated on 17 November, 2025
    Medically Reviewed by

    Dr. Alina Fong

    fMRI Scan TMS Depression Treatment

    A large real-world study demonstrates that using fMRI brain scans to personalize TMS targeting will significantly improve outcomes for treatment-resistant depression—but the treatment works well either way.

    If you've been following developments in mental health treatment, you've likely heard about transcranial magnetic stimulation (TMS)—a non-invasive brain stimulation therapy that's been FDA-approved for depression since 2008. But the field has evolved dramatically in recent years, with new "accelerated" protocols that deliver a full treatment course in just five days instead of six weeks.

    The question researchers are now grappling with: Does using advanced brain imaging to personalize exactly where we stimulate make a meaningful difference? A new preliminary study published in September 2025 provides the most comprehensive real-world evidence yet—and the answer appears to be yes.

    What This Study Examined

    Researchers from Acacia Clinic and Harvard University analyzed outcomes from 195 patients with treatment-resistant depression who received accelerated TMS (aTMS) between 2019 and 2025. These weren't carefully selected research participants—they were real patients seeking treatment in a clinical setting, many with multiple failed medication trials and complex medical histories.

    The key comparison: 115 patients received fMRI-guided targeting to personalize their treatment, while 80 patients received standard scalp-based targeting (the Beam F3 method, which estimates location based on skull landmarks).

    The results were striking: After accounting for baseline differences between groups using sophisticated statistical matching, patients who received fMRI-guided targeting were 2.3 times more likely to respond to treatment. The response rate jumped from 62% with standard targeting to 77.5% with fMRI guidance.

    Put another way: for every 6-7 patients who receive fMRI-guided treatment, one additional person achieves significant symptom relief compared to standard targeting.

    Overall Response Rates: fMRI-Guided vs Standard Targeting Accelerated TMS

    Percentage of patients achieving clinical response within one month. Both approaches showed strong effectiveness.

    Standard Targeting
    66.3%
    Beam F3 method
    n=80 patients
    fMRI-Guided Targeting
    77.4%
    Personalized connectivity-based
    n=115 patients

    Understanding the Neuroscience: Why Location Matters

    To appreciate why personalized targeting might make such a difference, we need to understand a bit about how TMS works and what it's trying to accomplish.

    The Brain Networks Behind Depression

    Depression isn't caused by a single brain region "malfunctioning." Instead, it involves disrupted communication between multiple brain networks. One of the most important connections involves:

    • The dorsolateral prefrontal cortex (DLPFC): Located behind your forehead, this region is crucial for executive function, emotion regulation, and decision-making
    • The subgenual cingulate cortex (SGC): Deep inside the brain, this area is often overactive in depression and involved in processing negative emotions

    Think of these regions like two cities connected by a highway. In depression, this highway becomes underactive—the DLPFC isn't properly regulating the SGC's emotional processing. TMS works by stimulating specific spots in the DLPFC to strengthen this connection.

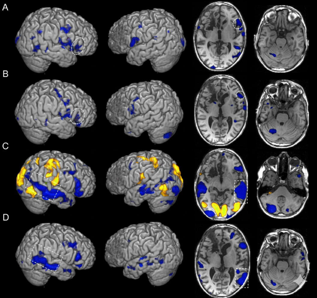
    How fMRI Personalizes the Target

    Here's where the personalization comes in: everyone's brain is organized slightly differently.

    Just as your fingerprints are unique, the precise architecture of your brain's functional networks varies from person to person. The DLPFC is a relatively large brain region that is responsible for many functions, so the "ideal" spot to stimulate within the DLPFC to reach the SGC could be a very different location for you than for someone else.

    fMRI (functional magnetic resonance imaging) allows clinicians to map your brain's specific connectivity patterns. During a roughly 20-minute scan, patients simply rest while the MRI measures spontaneous fluctuations in brain activity—seeing how your brain naturally communicates with itself.

    The analysis then identifies which locations in your DLPFC show the strongest anti-correlation (negative functional connectivity) with the SGC. This is your personalized target—the precise spot where stimulation is most likely to influence the depression-related network.

    The Standard Approach: Beam F3

    The DLPFC is a large region with many subregions that do similar, overlapping functions. Most areas of the left DLPFC contribute in lesser and greater degrees to the function of controlling depression.  The small spot that is the most anti-correlated with SGC is particularly dedicated to this function, and is the most potent spot to stimulate. However, if you stimulate just about anywhere in left DLPFC, you will likely to get some degree of benefit.

    The Beam F3 method, named for the researcher who discovered it, relies on this fact for treating many patients effectively without imaging. This standard method uses skull measurements to estimate where the DLPFC should be, similar to how a tailor might use standard measurements to estimate clothing fit. It accounts for head size variations but doesn't capture the individual differences in where your specific brain networks are located.

    What "Accelerated" TMS Actually Means

    Traditional TMS protocols involve one treatment session per day, five days per week, for six weeks—a significant time commitment. Accelerated TMS condenses this timeline dramatically:

    • Multiple sessions per day (the patients in this study averaged 8-10 sessions daily)
    • Treatment completed in just 5 days
    • Uses a specific stimulation pattern called intermittent theta-burst stimulation (iTBS)

    This acceleration is based on fundamental neuroscience principles. The brain undergoes neuroplastic changes—physical rewiring of neural connections—in response to TMS. By delivering treatments in rapid succession with shorter breaks between them, accelerated protocols may enhance this neuroplasticity through a phenomenon called "spaced learning."

    It's similar to how cramming information with short breaks (spaced repetition) can be more effective than spreading study sessions far apart—the neural pathways are strengthened while they're still "active" from the previous session.

    The Real-World Results: What the Numbers Mean

    Let's break down what the study found in practical terms:

    Overall Effectiveness

    • 72.8% of all patients responded to treatment within one month (improvement on standardized clinical measures)
    • 51.8% achieved remission (very much improved, essentially symptom-free)
    • These outcomes occurred despite patients averaging more than 5 previous medication failures

    This is remarkable. These weren't ideal candidates with straightforward depression—many had tried numerous treatments, had comorbid conditions, and represented the real complexity of clinical practice.

    The fMRI Advantage

    When researchers used propensity score matching—a statistical technique that creates "matched pairs" of similar patients who differed primarily in whether they received fMRI guidance—the benefits became even clearer:

    • fMRI-guided: 77.5% response rate
    • Standard targeting: 62.2% response rate
    • Absolute difference: 15.3%

    This means that if you treated 100 patients with fMRI guidance instead of standard targeting, approximately 15 additional people would experience significant improvement.

    Who Responded Best?

    Interestingly, the second best predictor of treatment outcome (after fMRI guidance) was the number of previous antidepressant trials. More prior medication failures predicted lower response rates—highlighting how critical new treatment options like aTMS are for truly treatment-resistant cases.

    Age, sex, baseline severity, and history of other brain stimulation treatments didn't significantly predict outcomes, suggesting that aTMS with fMRI guidance may work across a broad range of patient profiles.

    Safety Profile: What About Side Effects?

    Treatment was generally well-tolerated, with no patients discontinuing due to adverse events. However, there were some important findings:

    Common side effects included:
    • Headache (61% fMRI-guided, 45% standard)
    • Fatigue (31% fMRI-guided, 30% standard)
    • Treatment-emergent anxiety (15% fMRI-guided, 7% standard)
    Side Effects Reported - Cognitive FX

    Side Effects Reported

    fMRI Value
    Standard Value

     

    Interestingly, the fMRI-guided group experienced more side effects overall, including more frequent headaches, cognitive effects, and treatment-related anxiety. The researchers suggest this might indicate that more precise targeting produces both enhanced efficacy and enhanced side effects—you're stimulating exactly the right circuit, which means you're also more likely to temporarily activate or disrupt nearby networks during treatment.

    The good news: most side effects resolved quickly, often within the treatment week itself. The two cases of treatment-emergent anxiety that persisted were successfully managed with additional right-hemisphere stimulation, targeting a different network involved in anxiety.  In our clinic, we have had great success managing any potential anxiety with personalized right-hemisphere stimulation as needed.

    The Clinical Implications: What This Means for Patients

    This study addresses a critical question facing the field: Is the added complexity and cost of fMRI-guided targeting worth it?

    The answer from this data appears to be yes—with some important caveats:

    For Patients Considering Treatment

    1. aTMS works well even without fMRI guidance (62% response rate; standard targeting can still activate the right area of the DLPFC in many cases)
    2. fMRI guidance improves your odds substantially (jumping to 77.5% response)
    3. The treatment works quickly (most improvement within days to weeks, not months)
    4. It's appropriate for highly treatment-resistant cases (average 5+ prior medication failures)

    The Access Question

    Not everyone has access to fMRI-guided TMS. The technology requires:

    • An MRI scanner meeting specific quality standards
    • Specialized image processing software and expertise
    • Neuronavigation equipment to match the MRI brain map to the patient's actual head
    • Clinicians trained in connectivity-based targeting

    If fMRI-guided targeting isn't available in your area, this study's findings remain encouraging: standard accelerated TMS still produced a 62-66% response rate, which compares favorably to most antidepressant medications and traditional TMS protocols.

     

    Understanding the Study's Strengths and Limitations

    Who Were the Patients? Real-World Treatment Resistance

    This wasn't a carefully selected research population - these were real patients seeking treatment in a clinical setting.

    5+
    Average Failed
    Medication Trials
    195
    Total Patients
    Analyzed
    44
    Average Age
    (Range: 18-90+)
    23%
    Had Previously
    Tried TMS

    Additional Patient Characteristics

    Gender Distribution
    53% Female, 47% Male
    Bipolar Disorder
    12.8% had bipolar depression
    Prior ECT
    10.8% had tried electroconvulsive therapy
    Baseline Severity
    Average PHQ-9: 17.0 (moderately severe)

    📊 Context Matters

    These outcomes are particularly impressive because this population represents highly treatment-resistant depression. After 4-5 failed medication trials, the expected response rate to a new medication is typically only 10-15%. Achieving a 73% response rate in this population demonstrates the potential of accelerated TMS as a game-changing intervention.

    What Makes This Study Valuable

    1. Real-world data: Unlike highly controlled clinical trials that exclude patients with comorbidities, this study included the messy reality of clinical practice—patients with multiple diagnoses, prior treatment failures, and varying clinical presentations.

    2. Large sample size: With 195 patients, this is one of the largest reports of accelerated TMS outcomes to date.

    3. Sophisticated statistics: The researchers used propensity score matching to create "apples-to-apples" comparisons between groups that differed in baseline characteristics.

    Important Limitations to Consider

    1. Not a randomized trial: Patients chose whether to receive fMRI guidance (often based on insurance coverage, schedule constraints, or personal preference). While statistical matching helps, unmeasured confounding factors could still influence results.

    2. Potential placebo enhancement: Patients receiving fMRI guidance knew they were getting "advanced" personalized treatment, which might enhance placebo response.

    3. Temporal bias: fMRI guidance was introduced midway through data collection, so later patients had different treatment experiences than earlier ones.

    4. Single-site study: Results from one specialized clinic may not generalize to all settings.

    The gold standard for confirming these findings would be a randomized controlled trial where patients are assigned to fMRI-guided vs. standard targeting. Such a trial is currently underway (NCT07043738), and results are eagerly awaited.

    The Neuroscience of Precision Psychiatry

    This study represents an important step toward what researchers call "precision psychiatry"—tailoring treatments to individual brain architecture rather than using one-size-fits-all approaches.

    The concept builds on decades of neuroscience research showing that:

    1. Brain networks, not individual regions, drive psychiatric symptoms
    2. Network organization varies substantially between individuals
    3. Interventions targeting specific networks may be more effective than region-based approaches

    fMRI-guided TMS exemplifies this paradigm. Rather than stimulating a generic "depression region," it identifies and targets the specific circuit dysfunction present in your particular brain.

    Comparing Accelerated TMS to Other Depression Treatments

    It's helpful to put these response rates in context:

    Antidepressant medications:

    • First medication trial: ~30-45% response rate
    • After 4 failed trials: ~10-15% response rate

    Traditional (non-accelerated) TMS:

    • ~50-60% response rate in treatment-resistant patients

    Electroconvulsive therapy (ECT):

    • ~70-80% response rate, but with cognitive side effects

    Accelerated TMS (this study):

    • 62-77% response rate depending on targeting method
    • Completed in 5 days vs 6 weeks
    • Minimal cognitive side effects

    The speed and tolerability of accelerated TMS are particularly noteworthy. Depression is a time-sensitive condition—suffering has real costs in relationships, work, and quality of life. A treatment that works in days rather than weeks or months represents a meaningful advance.

    What About Treatment Durability?

    One question this study doesn't fully answer: How long do these improvements last?

    The outcomes were measured within one month of treatment completion. While this demonstrates rapid and robust initial response, longer-term follow-up data will be crucial for understanding durability.

    Preliminary evidence from other accelerated TMS studies suggests that:

    • Most patients maintain improvement for at least several months
    • Some require "booster" sessions
    • Maintenance treatment protocols are being developed

    This is an area where ongoing research is needed, and where personalized approaches (like fMRI-guided maintenance targeting) may prove valuable.

    The Future of Brain-Guided TMS

    This study opens several exciting research directions:

    1. Symptom-specific targeting: Rather than just targeting "depression," could we identify distinct targets for specific symptoms like anxiety, anhedonia (inability to feel pleasure), or cognitive dysfunction?

    2. Biomarker development: Can baseline brain connectivity patterns predict who will respond best to treatment?

    3. Multi-target protocols: Should some patients receive stimulation to multiple sites based on their specific symptom profile?

    4. Optimization of fMRI acquisition: What's the minimum scan time needed? How does scanner quality affect target selection?

    5. Integration with other treatments: How does aTMS combine with psychotherapy, medications, or other neuromodulation approaches?

    Practical Takeaways for Patients and Clinicians

    If You're Considering TMS for Depression:

    Questions to ask your provider:

    • Do you offer accelerated protocols (multiple sessions per day)?
    • Is fMRI-guided targeting available?
    • What's your clinic's response rate for treatment-resistant cases?
    • How do you monitor and manage side effects?
    • What's your protocol if initial treatment isn't sufficient?

    What to expect:

    • Treatment involves sitting still while a device held against your scalp delivers magnetic pulses
    • Each session lasts 3-10 minutes
    • You'll feel tapping sensations and some sensitivity on your scalp
    • Most people tolerate it well and can drive themselves to/from appointments
    • Initial improvement may occur within days, though full response takes longer

    For Clinicians:

    This study suggests that fMRI-guided targeting offers measurable advantages in response rates, with a number needed to treat of approximately 6.5. However, excellent outcomes can still be achieved with standard targeting when imaging isn't available.

    Key implementation considerations:

    • Quality standards for fMRI acquisition (20+ minute scans, 3T scanner, specific preprocessing)
    • Need for specialized expertise in connectivity analysis and target selection
    • Neuronavigation equipment requirements
    • Patient counseling about expected side effects (particularly treatment-emergent anxiety with anti-SGC targeting)
    • Importance of monitoring and supporting patients post-treatment, especially those at high suicide risk

    Conclusion: Personalization Matters, But Access Matters Too

    This study adds compelling real-world evidence that fMRI-guided targeting improves outcomes for accelerated TMS in depression. The 15-point improvement in response rate (from 62% to 77.5%) is clinically meaningful and statistically robust.

    However, the finding that standard targeting still produced 62-66% response rates is equally important. For the millions of people suffering from treatment-resistant depression, even standard accelerated TMS represents a rapid, effective, and well-tolerated option—particularly for those who've exhausted multiple medication trials.

    The ideal scenario, of course, is making fMRI-guided approaches widely accessible. But in the meantime, we can take comfort that accelerated TMS protocols show strong effectiveness regardless of targeting method.

    As we move toward more personalized medicine, studies like this illuminate both the promise of precision approaches and the reality that even our "less precise" tools can be remarkably effective when applied thoughtfully.

    For patients struggling with treatment-resistant depression: accelerated TMS—with or without fMRI guidance—may offer hope where previous treatments have fallen short.

    Schedule Free Consultation


    References

    DeSouza DD, Meng NF, DeGaetano NP, et al. Naturalistic Outcomes with fMRI-Guided and Non-fMRI-Guided Accelerated TMS for Depression. medRxiv 2025. doi:10.1101/2025.09.03.25334813


    Treatment Outcomes One D

    Can TMS Treat Depression in One Day? ONE-D Treatment Explained

    Could One Day of Treatment Be the Answer to Treatment-Resistant Depression?

    If you've struggled with depression that hasn't responded to medications, you know the exhaustion that comes with trying...

    Read the full article
    What to Know About Combining Antidepressants and TMS Therapy

    What to Know About Combining Antidepressants & TMS Therapy

    Patients considering transcranial magnetic stimulation (TMS) often wonder whether or not they can continue taking their antidepressant medication while undergoing TMS treatment.

    Read the full article
    Key Factors When Looking for Accelerated TMS Near You

    Key Factors When Looking for Accelerated TMS Near You

    A major challenge for patients with depression is that traditional antidepressant medications often take weeks or months to show results — if they work at all. This delay can be especially...

    Read the full article
    Treatment-Resistant Depression Clinic in Provo, Utah

    TMS Therapy for Depression in Provo, Utah

    Suffering from treatment-resistant depression (TRD) is both common (you are not alone) and extremely difficult. It can feel incredibly discouraging when you’ve tried antidepressant medication or...

    Read the full article
    How Much Does TMS for Depression Cost?

    How Much Does TMS for Depression Cost?

    The type of protocol used is the most important factor influencing the price of TMS. Conventional TMS protocols are often the most affordable, while advanced protocols typically cost more, but can...

    Read the full article
    Theta Burst Stimulation TMS Treatment: A Patient’s Guide

    Theta Burst Stimulation TMS Treatment: A Patient’s Guide

    Intermittent theta burst stimulation (iTBS) has been growing in popularity since receiving FDA approval for treating major depression in 2018. This new brain stimulation method uses a series of...

    Read the full article